LOADING

CONFIDENCE
IN THE MOUTH
WITH TECHNOLOGY

精密な技術で、口元に自信を取り戻す。

ABOUT 村上デンタルラボラトリーについて

地域に寄り添いながら、
チェアタイム削減を目指す。
愛知県豊橋市の【村上デンタルラボラトリー】は、地域密着型の歯科技工所です。近隣の歯科医院様や患者様のご要望に寄り添い、丁寧に作業しながら、精度の高い技工物をご提供。チェアタイムの削減に貢献したいと考えています。

FEATURE 当方の強み

  • 30年以上続く地域密着型ラボ。

    創業から30年以上、クラウンデンチャーの総合ラボとして、高品質な技工物を製作してまいりました。自費診療・保険診療の両方に対応できるほか、クラウンブリッジ(かぶせ物)の依頼も引き受けています。培ってきたノウハウを活かして、今後も地域の皆様と、信頼関係を築いていければ幸いです。
  • すべて自社で一貫して生産。

    あらゆる技工物を一貫して自社で製作しています。使用する各種素材も、信頼と実績のある関連会社と提携したうえで仕入れているのがこだわり。高いクオリティーを維持しながらも、コストダウンを実現しました。
  • デジタル技術と職人技の融合。

    最新のデジタル設備を積極的に導入し、効率のいい作業環境を整えました。一方で、熟練の歯科技工士による手作業も重視し、製品の最終チェックは必ず人が行っています。デジタルとアナログをうまく組み合わせ、時代に合った体制づくりを続けていきます。

WORKS 製作実績

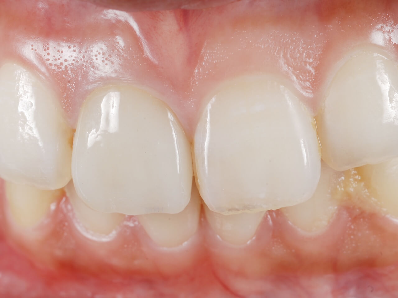
  • 自費負担用クラウンブリッジ

    オールセラミックのため審美性に優れています。耐久性が高く、経年劣化がないことも大きなメリットです。
  • 保険適用クラウンブリッジ

    保険適用のクラウンは通常、銀合金などの金属やセラミックが使用されます。これにより、耐久性や機能性を確保することが可能です。
  • 自費負担用ノンクラスプデンチャー

    金属のバネを使用せず、基礎部分をプラスチックで構成することから、装着時に目立ちにくいです。自然な歯に近い形状で、弾性のある材料を使って製作しており、歯茎にフィットしやすい、快適な装着感・使用感を実現。保険適用の義歯よりも高価な分、見た目や快適さを重視したい際に推奨されます。
  • 保険適用デンチャー

    保険診療で制作できるデンチャーのことを指します。

INFORMATION アクセス情報

技工所名
村上デンタルラボラトリー
所在地
所在地
〒441-3301
愛知県豊橋市老津町今下126
電話番号
0532-23-4186
設立年月
1987年2月
代表者
村上 真也
事業内容
クラウンデンチャーやクラウンブリッジなど
歯科技工物の製作

CONTACT お問い合わせ